솟구쳐 올라온 아래치아 교정했어요
페이지 정보
작성자 서울가지런한교정치과 작성일25-10-24 16:06 조회3회 댓글0건관련링크
본문
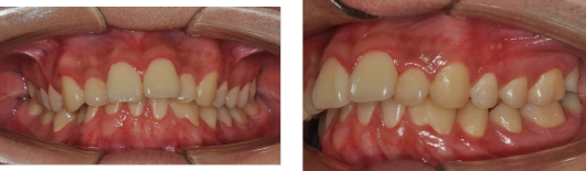
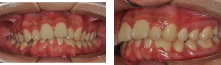
치아는 서로 닿아야 하는데 닿지 못하면
계속 정출되어 솟구치거나 내려오게 됩니다.

환자분 께서는 위 앞니가 뻐드러지고,
아래 치아가 안쪽으로 쓰러져 있어
서로 닿지 못하고 아래 앞니가 위로 솟구쳐 올라가 있는 상태입니다.

솟구친 아래 치아를 끌어내려 주면서
어금니와의 높이를 맞춰주고,
쓰러진 치아들도 바로 새워줍니다.

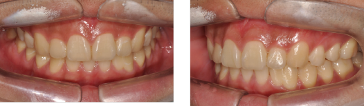
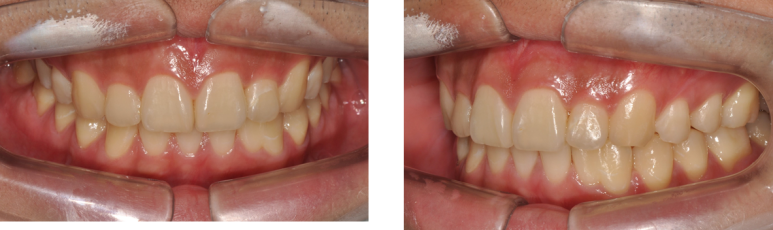
이렇게 교정이 마무리 되었습니다.
쓰러졌던 치아들도 바로 새워지고,
솟구쳐있던 아래 앞니들도 아래로 내려온 걸 확인 할 수 있죠,
아래 치아가 솟구쳐 올라오면
입천장에 닿게되어 통증이 생기거나
위 치아 뿌리부분을 겨속 치게되어
치아에 무리가 갈 수 있습니다.
때문에 교정을 꼭 해주는게 좋으며
교정치료는 전문가의 정확한 상담과 진단을 통해 이루어져야 합니다.
저희 서울가지런한교정치과는
3D촬영과 치아 스캔을 이용하여
보다 정확한 치아교정계획을 세울 수 있습니다.
교정을 고민중이라면 저희가지런한교정치과에서 상담 받아보세요.
댓글목록
등록된 댓글이 없습니다.







